The tibial plafond or Tibia plateau is the lower part of the tibia bone that is usually flattened and is not covered by articular cartilage. This area is known as the plateau of the tibia. The lower part of the tibia bone is also known as the tibial tuberosity. It is located above the ankle joint and below the knee joint. The tibial plafond is also known as the Tibia plateau, the lower surface of the tibia, tibial tuberosity, or tibial tuberosity bone. The tibial plafond comprises two different parts: the upper part and the lower part. The lower part of the tibia is referred to as the tibial plateau. The tibial plafond is a part of the lower leg bone between the knee and ankle joints. It is part of the shinbone. The tibial plafond is the lower part of the tibia bone that is flattened and is not covered by articular cartilage. It is also known as the plateau of the tibia. This area is called the tibial plafond. It is situated above the ankle joint and below the knee joint.
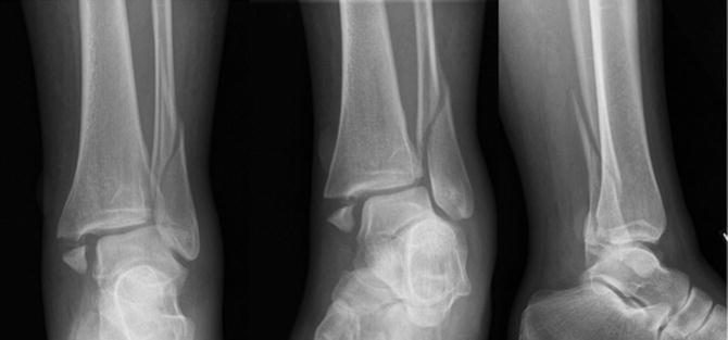
A tibial plafond or tibial plateau fracture is a fracture that occurs at the junction of the tibia and fibula bones in the knee. In this blog, we will discuss what tibial plafond is, its symptoms, and treatment.
The tibial plafond fracture is rare. However, it should not be overlooked because it can cause serious complications like pain, swelling, bruising, and inability to walk.
Introduction:
The tibial plafond is an anatomical structure in the knee that helps the body absorb shock. If it is torn or damaged, it can cause pain and discomfort in the knee joint. An injury to the tibial plafond is a common cause of anterior cruciate ligament (ACL) tears and medial collateral ligament (MCL) tears. An injury to the ACL or MCL can also damage the tibial plafond, causing it to tear. This is often accompanied by pain and discomfort in the knee. If the tibial plafond is torn, it can cause symptoms like pain, swelling, and instability in the knee joint. Causes of a Tear in the Tibial Plafond Most injuries to the tibial plafond occur when the knee is bent or twisted. This may be due to sports activities like basketball or football or a fall from a height. Injuries that cause this type of tear can also occur during activities like jumping or running. Injuries to the tibial plane can also occur in people who are overweight or obese.

What is the Tibial Plafond?
Tibial plafond is a fracture that occurs at the junction of the tibia and fibula bones in the knee. This injury is usually sustained when a person falls on their knees or gets hit by a car. It is also sometimes called a “kissing fracture”.
The tibia is the lower leg’s shin bone, and the fibula is the smaller of the two tibia bones. The fibula is located below the tibia and above the ankle joint.
A small piece of cartilage connects the two bones. When this piece of cartilage is broken, a fracture can occur.
The tibial plafond is the name given to the junction between the tibia and the fibula. It is usually seen when the tibia is fractured.
In a tibial plafond, the cartilage that connects the tibia and the fibula is fractured. A gap separates the bones, and the injury is usually sustained when a person falls on their knees or gets hit by a car.
Why is it important?
Tibial plafond fracture is a rare fracture, and most of the time, it occurs due to high-energy trauma. It is more common in athletes than non-athletes.
Tibial plafond fracture is caused by direct force on the tibia and fibula, usually due to twisting and hyperextension injuries. It is also called a ‘stress fracture’ caused by bone stress.
The injury usually occurs in the area between the knee joint and the ankle, usually after a fall or a sudden stop. Symptoms include severe pain at the front of the knee, a feeling of instability when weight is placed on the leg, and swelling at the site of the injury.
Tibial plafond fracture is easily missed and often misdiagnosed. It may be confused with other conditions like sprain, fracture, tendonitis, bursitis, or meniscal tear.
Treatment options include immobilization, activity modification, rest, and physiotherapy. Surgery is necessary only in certain cases and is recommended after non-operative measures have failed.
How to identify a tibial plafond
A tibial plafond fracture is a rare injury.
A tibial plafond fracture usually occurs when the tibia, the larger of the two bones in the knee, moves upward and forward and compresses the smaller bone, the fibula. This causes a small crack in the tibial surface of the fibula.
The tibial plafond fracture is often misdiagnosed as a torn ACL (anterior cruciate ligament), meniscus tear or dislocation, or osteochondral rupture.
Symptoms: Pain outside the knee, inability to move the joint, and loss of normal knee function.
Who Is At Risk Of Developing Tibial Plafond Injury?
Anyone with a history of knee problems and prone to falls is at risk of developing a tibial plaque injury.
Tibial plafond injury is a fracture that occurs at the junction of the tibia and fibula bones in the knee.
It usually happens when the knee is twisted and then hyperextended.
The tibia bone has a rounded edge, so when the joint is hyper-flexed, the round part of the bone gets crushed.
This fracture can occur due to a direct blow, a fall from height, or a twist in the knee.
The symptoms
The symptoms of a tibial plafond fracture are pain in the leg, swelling and bruising on the leg, and inability to walk.
Tibial plafond fracture is caused by a direct blow to the leg, usually from a car accident, and can occur at any age, from young children to adults.
The injury often occurs when a child falls and lands on the knees.
A tibial plafond fracture is one of the most common knee fractures.
It usually occurs due to a direct blow to the knee and causes pain, swelling, and bruising on the leg.
Frequently Asked Questions About Tibial Plafond
Q: How did you become interested in Tibial Plafond?
A: I was searching the Internet for information about different types of surgeries and came across a picture of this girl with a scar on her knee. I was intrigued by it. After reading more about it, I became interested and investigated it further.
Q: What are the benefits of Tibial Plafond surgery?
A: A Tibial Plafond procedure can give back to the person who has had one because the knee can regain strength and motion afterward.
Q: What does it mean to be “tibial plafond”?
A: Tibial plafond refers to the height of the wearer’s heels from the ground. It’s measured by placing the heel on the floor, and the leg is raised until the toes touch the base; then, the distance from the ankle to the floor is measured. It’s measured in inches or centimeters. For example, if the heel touches the floor at 7 inches, the tibial plafond is 7 inches.
Q: How would you describe the Tibial Plafond?
A: Tibial Plafond is a brand from Spain. Tibial Plafond is a very sexy, high-waisted pencil skirt with an exposed zipper on the back. It’s super feminine and super sexy.
Q: Can you tell us more about how tibial plafond works?
A: When standing up, our body weight is on our heel, which puts pressure on our Achilles tendon. This causes the plantar fascia on top of the foot to become tight, which can eventually cause pain or injury. Tibial plafond works by giving your foot a better arch, allowing the muscles to relax and dissipating the pain.
Q: Why do you think people are still unaware of tibial plafond?
A: I think people are aware of the problem, but not that there are solutions.
Top Myths about tibial plafond
1. Tibial plafond pain occurs due to “tight” muscles.
2. Tibial plafond pain occurs in the morning when you get up.
3. Tibial plafond can be the source of pain for a person with ankle pain.
4. Tibial plafond injury requires surgery to repair it.
Conclusion
Tibial plafond is a method of treating a specific injury that affects the knee. This includes patellar tendinosis and chondromalacia. It’s a relatively uncommon injury but is becoming more common.
It’s important to know the symptoms before you undergo this treatment. They include pain and tenderness in the anterior area of the knee, swelling, and sometimes bruising.
In addition to these signs, you may have knee instability or feel like you have a “patellar tendon snapping.”
The first step in treating the problem is diagnosing whether the problem is chondromalacia or patellar tendinosis.




