Multiple lung nodules are not malignant, but the size and number may indicate underlying disease. If you have been diagnosed with multiple lung nodules and are unsure about your diagnosis, you should consider talking to a doctor about this. Lung Nodule Treatment Options The following treatment options are available for multiple lung nodules: Surgery This procedure is used when lung cancer or another disease is causing the lung nodules. Doctors remove the tumor and any other tissue causing the nodules during surgery.
Multiple Lung nodules are abnormal growths within the lungs, often mistaken for cancer. There are several treatment options available for various lung nodules. This includes surgery, radiation therapy, or chemotherapy. Which is best?
You may wonder which treatment is best for you if you’ve been diagnosed with multiple lung nodules. In this blog post, we’ll discuss some treatment options and what they entail. We’ll also review different factors to consider when choosing a treatment plan.
Introduction:
Multiple Lung nodules are often found on the chest X-rays of people with symptoms such as shortness of breath, cough, weight loss, or chest pain. They are usually benign (not cancerous) but must be checked out. Some lung nodules may need to be treated because they are cancerous. The best treatment depends on what type of nodule you have, how old you are, how big it is, and whether it has spread to other body parts. The size of a nodule doesn’t tell you what it is. Your doctor can usually figure that out by looking at it on an X-ray or CT scan. When cancer cells form in the tissue of your lungs, they can invade the walls of the air sacs (bronchi) that connect to the lungs. This invasion causes the bronchi to become blocked. The result is shortness of breath, coughing blood, fever, weight loss, and other symptoms. In most cases, lung cancer is diagnosed after it has spread beyond the lungs into nearby lymph nodes or other parts of the body.

What are multiple lung nodules?
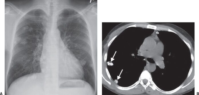
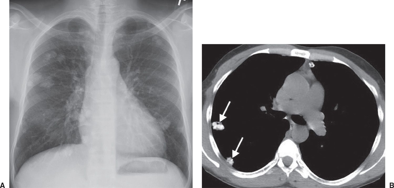
Multiple lung nodules, sometimes called pulmonary nodules, are small, round growths on a chest X-ray. These growths are usually benign (noncancerous) but can also be cancerous. Most people who get a chest X-ray have at least one lung nodule. Sometimes, they’re small and hard to notice. Sometimes, they’re bigger and easier to spot. Lung nodules can be single or multiple or may be part of a larger pattern, like the “halo sign”, where a mass surrounds a lung tumor. Sometimes, lung nodules can be found on a chest CT scan, called pulmonary nodules or pulmonary metastases.
What causes multiple lung nodules?
Multiple lung nodules are usually the result of infection or inflammation. They’re typically found in older adults and smokers and are more common in men than women.
Lung nodules can be benign (noncancerous), malignant (cancerous), or somewhere between. Benign nodules are harmless and don’t require any treatment. Malignant nodules are more serious and often require treatment.
What treatments are available for multiple lung nodules?
Multiple lung nodules are small growths of tissue that occur in the lungs. They’re often mistaken for cancer, but they’re completely benign. Numerous lung nodules are usually discovered in asymptomatic patients; most people never require treatment.
However, if they become large enough, they may begin to interfere with breathing or cause other problems. This can lead to severe health issues, so getting treatment as soon as possible is important.
A benign bronchial adenoma is among the most common types of multiple lung nodules. These are growths that can occur on any part of the airway. They are commonly found on the wall of the trachea and the bronchi. They’re typically not painful, but they can interfere with breathing.
In rare cases, the benign nodules may develop into malignant tumors. In this case, they’re called pulmonary hamartomas.
Radiation therapy is typically the first treatment option. It works by destroying the tumor cells.
Surgery is another treatment option. It can be performed to remove the nodules or to repair damaged tissue.
Some medications can be used to treat multiple lung nodules. These medications help reduce the size of the nodules or stop them from growing.
What are the different types of multiple lung nodules?
A person with multiple lung nodules is sometimes referred to as having various lung cancer. Several types of lung cancer are classified based on their appearance under a microscope.
Lung cancer is the second most common type of cancer in the world. There are two main types of lung cancer: Non-small cells and small cells.
Non-small cell lung cancer accounts for about 85% of all lung cancers. It typically grows quickly, spreads quickly, and has a poor prognosis.
Small cell lung cancer is the second most common type of lung cancer. Small-cell lung cancer is considered a fast-growing cancer.
There are two main non-small cell lung cancer types: Adenocarcinoma and squamous cell carcinoma.
Squamous cell lung cancer is a fast-growing, aggressive type of non-small cell cancer. Squamous cell lung cancer tends to spread quickly and kill the patient.
Adenocarcinoma is a slow-growing, less aggressive form of non-small cell lung cancer. Adenocarcinoma usually appears in older people, smokers, and women.
What are the symptoms?
You may wonder which treatment is best for you if you’ve been diagnosed with multiple lung nodules. In this blog post, we’ll discuss some treatment options and what they entail. We’ll also review different factors to consider when choosing a treatment plan. A multiple lung nodule is a growth in the lungs. These are usually solid or part-solid masses. They can form from either benign or malignant cells. Benign cells are noncancerous cells. Malignant cells are cancerous. When a lung nodule is small, it can be treated with bronchoscopy. This involves using a scope to see inside your airways and remove the nodule. If a lung nodule is large, then it’s usually removed through surgery.
Frequently Asked Questions About Multiple Lung Nodules.
Q: How did you find out that you had multiple lung nodules?
A: I was in the middle of filming a movie and was told to take a chest X-ray. It was a huge shock to me that there were two lung nodules.
Q: What do you think causes these lung nodules?
A: There are different reasons why we get lung nodules, but it’s usually because we smoke or have an autoimmune disease.
Q: What kind of treatment are you receiving for the lung nodules?
A: I was treated with radiation therapy. I have been getting the nodules checked since they were found.
Q: How did you learn that you had multiple lung nodules?
A: I got chest X-rays after each round of chemo because they wanted to ensure the cancer hadn’t spread. The x-ray technician noticed them immediately.
Q: How long did it take for you to discover you had multiple lung nodules?
A: My first nodule was discovered in June 2013, after I had been on the show for about five months. When I went back to the doctor, they found more nodules.
Top Myths about Multiple Lung Nodules
1. Multiple lung nodules are always malignant.
2. Multiple lung nodules are a sign of lung cancer.
3. Multiple lung nodules are harmless.
3. Multiple Lung nodules disappear on their own.
Conclusion
Multiple lung nodules are an abnormality where numerous small white spots appear in the lungs. These nodules are usually smaller than 1 cm and may be as large as 2 cm.
There are two types of treatment options available for multiple lung nodules. The first is surgery, which removes the nodule by cutting it or burning it off.
The second is a medication called a tyrosine kinase inhibitor. This medication is usually given after surgery. The purpose of this medication is to stop cancer cells from spreading through the body. It will not cure cancer, but it will help prevent the spread of the disease. It is important to note that this is not a curable condition. Surgery or a tyrosine kinase inhibitor is the only way to treat multiple lung nodules. There is no known cure for multiple lung nodules. Numerous lung nodules are an abnormality where you see numerous small white spots in the lungs.




