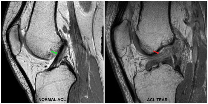
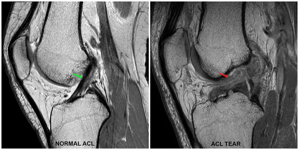
Partial ACL tears are common in athletes and are typically caused by an injury to the ACL itself or associated structures such as the meniscus or collateral ligaments. Partial ACL tears can occur if the ACL is ruptured or torn through the tibial footprint but is not completely detached from the tibia. The degree of tearing is based on the size of the tear and the amount of remaining tissue. A partial ACL tear often results in pain, swelling, and knee joint instability. If left untreated, a patient may experience long-term knee damage, leading to arthritis. Many techniques have been developed to treat partial ACL tears. These include non-surgical treatments, surgical reconstruction, and a combination of both. Non-surgical treatments, such as rest, ice, compression, elevation (RICE), and physical therapy, are typically recommended to treat an acute partial ACL tear.
Partial ACL tears are common injuries in sports such as soccer or basketball. This is not a serious injury; most people recover quickly from a partial ACL tear. However, it can be very painful.
Learn about partial ACL tears, their causes, treatment options, and prevention strategies in this blog post.
A common injury for the athlete is a partial ACL tear. It occurs when the ACL is torn at the femoral attachment, and the tibial attachment remains intact. A partial ACL tear can occur from various causes, including sports activities, vehicle accidents, or falls. Anatomy The ACL (anterior cruciate ligament) is one of three main ligaments that attach the knee to the thigh bone (femur). The other two are the posterior cruciate (PCL) and the medial collateral ligament (MCL).
Introduction:
Partial ACL tears are one of the most common knee injuries in active adults. They are caused by overuse, trauma, or an injury too serious to heal. In this webinar, we discuss how partial tears affect your body, your treatment options, and whether surgery is recommended. We also go over the basics of injury prevention. If you have a partial tear in your ACL, there are several treatment options to consider. The first is to manage the symptoms with physical therapy and non-surgical treatments. If those do not help, then surgery may be necessary. But before going under the knife, knowing the differences between these options is important. The most common symptom of a partial ACL tear is knee pain. Other symptoms include swelling, stiffness, and giving way (losing balance when walking).

Partial ACL Tears – Symptoms
Partial ACL tears are common injuries in sports such as soccer or basketball. This is not a serious injury; most people recover quickly from a partial ACL tear. However, it can be very painful.
Most people experience partial ACL tears when they land on the ground awkwardly. In this case, the ACL is stretched, torn, or partially torn. The symptoms can include knee pain, swelling, and loss of motion. The best treatment for an ACL tear is to let it heal naturally, without surgery. Many people with a partial ACL tear do not have any pain and can resume normal activities within a few weeks. However, people who have more severe injuries may need surgery to repair the torn ACL. A total ACL tear is a complete tear of the ACL. It can occur when the ACL is injured during a sports-related injury. A full ACL tear usually causes severe knee pain, especially when the person walks. People with a complete ACL tear are at a high risk of developing arthritis in the knee.
Partial ACL Tears – Treatment
Most people who sustain a partial ACL tear can return to sports within three months. This is the ideal time to rehab and strengthen the knee to avoid additional injuries.
A partial ACL tear usually occurs due to an excessive twisting motion, such as a player landing awkwardly on an injured knee.
In the case of a soccer player, a partial ACL tear may occur when the foot lands on an object or another player’s leg.
Partial ACL tears can be treated by performing ACL reconstruction surgery.
What are partial ACL tears?
Partial ACL tears are common injuries during sports such as soccer, basketball, and volleyball. They usually happen when the knee is twisted or hyperextended and the anterior cruciate ligament (ACL) is stretched.
The ACL is the major ligament that stabilizes the knee. It provides stability to the knee and prevents it from sliding out of place. If the ACL is torn, the knee is unstable, which makes it difficult to perform athletic movements such as jumping or running.
Partial ACL tears are generally caused by repetitive motions such as twisting and landing during sports. The main risk factors for partial ACL tears include age, gender, and activity level.
There is no specific injury that can cause a partial ACL tear. However, it is more common in athletes between 18 and 30. Men are more likely than women to tear their ACLs.
How to prevent them
Many sports-related injuries are due to insufficient skill, technique, and proper equipment. That’s why it’s important to know how to prevent them.
Partial ACL tears happen when someone puts too much force on their knee. They can occur while playing a sport, working out, or walking.
A partial ACL tear is usually diagnosed during an examination. Your doctor will feel for any tears and look at your knee’s ligament.
Common causes
Partial ACL tears occur when the anterior cruciate ligament (ACL) is partially torn. The ACL is a large, fan-shaped ligament in the knee that helps stabilize the knee joint and prevent excessive knee motion.
The ACL is often injured by twisting, such as when someone falls while playing sports or by sudden force during a car accident. Partial ACL tears are usually caused by direct trauma or overuse injuries.
Most people do not experience symptoms after a partial ACL tear. If you have a partial ACL tear, you may feel pain, swelling, and instability in your knee.
You can prevent further damage to your ACL by taking the following steps:
Stay active and play sports.
Avoid playing sports when you are fatigued.
If you have pain or discomfort in your knee, see your doctor immediately.
Types of partial ACL tears
A partial ACL tear can occur during sports or other activities. This type of tear is relatively common among athletes, especially those who play contact sports.
Partial ACL tears are usually a result of a direct blow to the knee. A crash can occur when the player falls or collides with another player. It can also happen if the player lands awkwardly on a knee.
Most partial ACL tears are not serious. They typically heal quickly and require little to no surgery. However, they can cause pain, discomfort, and instability in the knee joint.
Partial ACL tears are classified as either partial or complete.
Frequently Asked Questions About Partial ACL Tear
Q: How did you manage the pain of your partial ACL tear?
A: I used ice and ibuprofen and took Tylenol. I also went to physical therapy and took a lot of hot baths. You have to be strong.
Q: What did you experience after a partial ACL tear?
A: I was out shopping with my best friend when I fell down the escalator and tore my ACL. I was in a cast for four months. My life changed completely. I had to give up everything I was doing. My dream of becoming a professional soccer player was no longer possible. I had to find something else to do. My family helped me in any way they could. When I returned from the injury, I realized I needed a new career path. I was inspired by a friend who was a fashion model. I had never considered myself a model, but I knew I wanted to do something different than soccer. I took some acting classes and decided to become a model.
Q: Do you have any tips for recovering from partial ACL tears?
A: I had my surgery done three months ago, and it was successful. I am still going through physical therapy and learning new exercises. I am trying to keep myself busy and keep my spirits up because I think that’s important.
Q: What’s the difference between partial and complete tears?
A: A partial tear is when the incision is only part of the muscle. It is not as severe as a complete tear, but it can still affect a person’s ability to work.
Q: What does knowing you have a partial ACL tear feel like?
A: You don’t know what’s happening but know something is wrong. I’ve had my eyes checked twice, and I don’t know if I have an injury or a condition that’s going on in my body. When I start getting tired, I think it’s because I have too much stress and not enough relaxation.
Top Myths about Partial ACL Tear
1. A partial ACL tear is always accompanied by pain.
2. There are no symptoms of partial ACL tears other than pain.
3. A partial ACL tear can be diagnosed without surgery.
4. Partial ACL tear happens to healthy and young people.
Conclusion
Partial ACL tears happen when your ACL gets torn during a sporting activity, and the rest of your knee is still healthy.
The other thing that can cause a partial ACL tear is if your ACL has been torn already.
There are a few things that can help prevent these injuries, though. First, you should know what kind of activities can cause them. Second, you should know how to do some prevention exercises. Third, you should know the different types of ACL injuries and the treatment for each. And finally, you should know what to do if you injure your knee in a way that could be an ACL injury. A Partial ACL tear happens when your ACL gets torn, but the rest of your knee isn’t injured. So, it happens when you’re doing a sport or activity that puts a lot of stress on your knee, and you tear your ACL.




